Lemmy: Bestiverse
  • Communities
  • Create Post
  • Create Community
  • heart
    Support Lemmy
  • search
    Search
  • Login
  • Sign Up
RSS BotMB to Hacker NewsEnglish · 3 months ago

People with blindness can read again after retinal implant

go.nature.com

external-link
message-square
0
fedilink
23
external-link

People with blindness can read again after retinal implant

go.nature.com

RSS BotMB to Hacker NewsEnglish · 3 months ago
message-square
0
fedilink
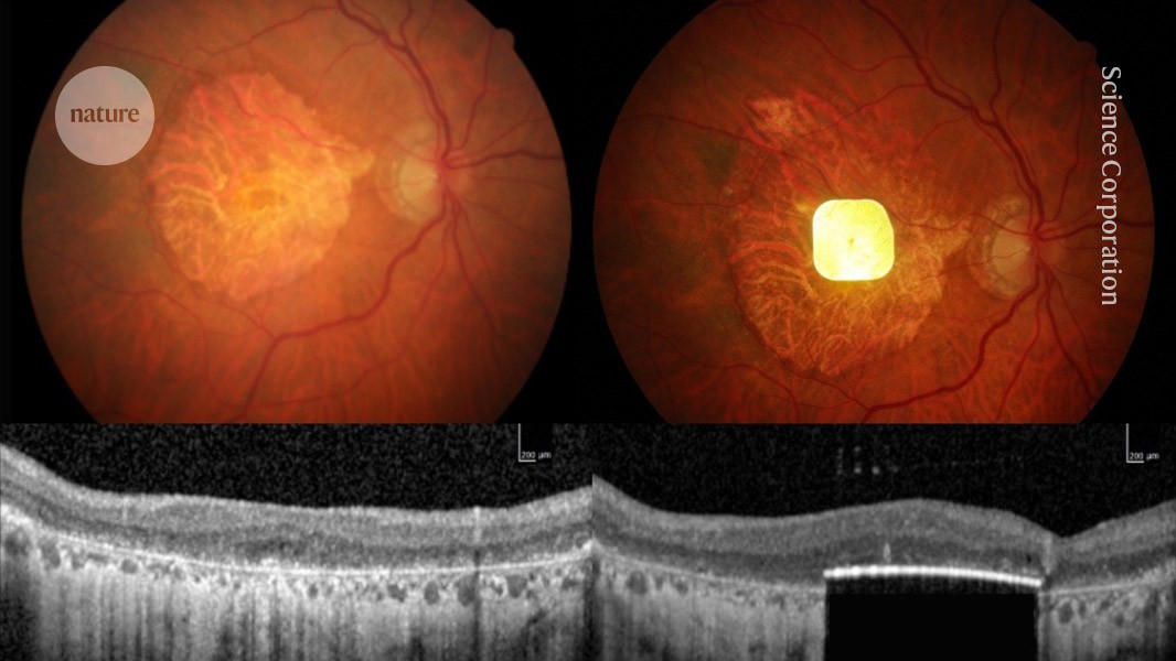
An electronic eye implant has restored vision in people with blindness caused by age-related macular degeneration.

Comments

alert-triangle
You must log in or register to comment.

Hacker News

hackernews

Subscribe from Remote Instance

You are not logged in. However you can subscribe from another Fediverse account, for example Lemmy or Mastodon. To do this, paste the following into the search field of your instance: !hackernews@lemmy.bestiver.se
lock
Community locked: only moderators can create posts. You can still comment on posts.

Posts from the RSS Feed of HackerNews.

The feed sometimes contains ads and posts that have been removed by the mod team at HN.

Visibility: Public
globe

This community can be federated to other instances and be posted/commented in by their users.

  • 490 users / day
  • 1.59K users / week
  • 4.09K users / month
  • 9.51K users / 6 months
  • 2 local subscribers
  • 3.48K subscribers
  • 41.3K Posts
  • 20K Comments
  • Modlog
  • mods:
  • patrick
  • RSS Bot
  • BE: 0.19.5
  • Modlog
  • Instances
  • Docs
  • Code
  • join-lemmy.org